430 W. Hilderbrand Avenue
San Antonio, Texas 78212-2108
(210) 735-HURT (4878)
Fax: (210) 737-1459
email: james@mazuca.com
Depositions
Proving a Traumatic Brain Injury
Dr. Michael Leonard (Neurosurgeon)
Dr. David Levy “Proving a TBI” PDF File
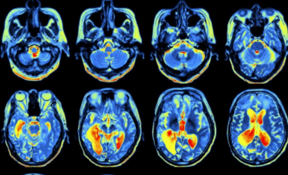
Use of DTI to Prove TBI
Deposition Dr. Meadow(admits making $2.5 million on page 112).
Deposition Dr. Meadow 2
Cross Exam of Defense Neuropsychologist
Dr. Janyna Mercado (Neuropsychologist)
Dr. Joel Jenne
Open Acromioplasty (Subacromial Decompression)
Total Knee Replacement Surgery using Patient Specific Implant
Posterior Revision (Decompression and Fusion)
ACDF (Neck) Surgery
Deposition of Trucking Safety Officer on Drive Shaft
mTBI Tutorial
Neuromonitoring
Dr. Karl Swann 8-09-19 PDF File
Dr. Karl Swann 8-09-19 Video
Dr. Dennis Gutzman(back and knee surgery)
Dr. Michael Leonard(back/robot)
Dr. Lenderman(shoulder and knee) Deposition
Microdiscectomy Lumbar
Dr. Misra Deposition(Microdiscectomy)
Cross Examination of Dr. Zachry Garza
Lumbar Laminectomy.
Chiropractor Deposition of Dr. Julio Regalado
Cross Examination of Dr. David Dennis
Epidural Steroid Injection
Live Epidural Steroid Injection
Documents
Schorlemer Mediation PDF File
Motion to Remand(Federal Question)(ADA & THRC)
Response to Plea to the Jurisdiction.
Fourth COA Opinion on Products Case
Briefing in the Texas Supreme Court
Trucking MCS-90 MSJ
Brief in Fourth COA
Articles Charges
MT. for AWARD OF ATTORNEY’S FEES
Article Attorne's Fees UM UIM
JAMA Study mTBI April, 2022.
Brief Fourth Court of Appeals
Attorney’s Fees Affidavits.
Allstate v. Irwin.
Colunga v. State Farm Mut. Auto. Ins. Co.